ALERTA: Teste de Covi-19 foi tão profundo em nariz de mulher que fez o cérebro vazar

Anúncio

O mundo enfrenta a pior pandemia da sua história recente. O novo coronavírus que causa a doença da Covid-19, já infectou milhões de pessoas.

O vírus que causa a Covid-19 é extremamente contagiosos e tem alto índice de letalidade, em pouco mais de sete meses, mais de um milhão de pessoas perderam suas vidas em todo o mundo.

A OMS – Organização Mundial de Saúde – vem alertando a população mundial sobre a gravidade da situação que além de ter causado uma grande crise nos sistemas de saúde de todos os países, também está provocando uma severa crise econômica.

Milhões de pessoas em todo o mundo perderam sua fonte de renda por causa da pandemia da Covid-19.

O isolamento social, tão necessário para evitar a contaminação, provocou uma hecatombe na economia do planeta e a fome assola milhões de pessoas.

Ainda não existe uma vacina com eficácia comprovada ou mesmo um remédio capaz de curar a Covid-19.

Cientistas, médicos, infectologistas e demais especialistas em saúde correm contra o tempo para tentar descobrir um medicamento eficaz.

Em todo o mundo mais de 150 vacinas estão sendo testadas, mas ainda não há cura para a Covid e a OMS faz questão de frisar que o isolamento social e os cuidados de higiene pessoal ainda são o melhor caminho a ser tomado.

Alerta

Ministério da Saúde promete 22,9 milhões de testes do novo coronavírus -  Especial Coronavírus - Jornal de Gramado

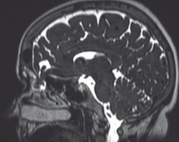
Um teste para detectar a Covid-19, feito com uma haste introduzida no nariz de uma paciente foi tão profundo que perfurou o cérebro da mulher.

O estudo que relata o caso foi publicado nessa quinta-feira (1°), no JAMA Otolaryngology Head & Neck Surgery. Este é o primeiro caso que se tem conhecimento.

A paciente de cerca de 40 anos procurou um hospital após ter coriza, dor de cabeça, rigidez no pescoço, fotofobia e sentir um gosto metálico na boca.

A vítima do erro no teste foi encaminhada aos hospitais da Universidade de Iowa, onde descobriram, por meio de tomografia e ressonância magnética, uma massa no meio da cavidade nasal direita.

Ressonância de paciente

Uma equipe de especialistas liderados pelo Dr. Christopher Blake Sullivan, drenou a massa e constatou vazamento de líquido cefalorraquidiano (LCR), que se encontra no cérebro e na coluna.

A mulher recebeu os cuidados necessários, passa bem e receberá acompanhamento neurológico.

LEIA TAMBÉM:

Auxílio de R$300 pago em dobro: Quem tem direito? Quando sacar? VEJA

ELE SE CASOU!!!

Fábio Assunção se casa em cerimônia secreta, famosos falam sobre enlace do galã; confira

 

Fonte: Metrópoles

What do you think?

0 points
Upvote Downvote

Written by acesso@admin-wp